Skip Menu
Continue
Call
Today
for a Free Consultation
5-C Medical Park Drive, Pomona, NY 10970
(845) 704-7922
Home
About Us
Our Office
New Patients
Smile Gallery
Dental Videos
Testimonials
Our Doctors
Services
View All
Dental Health
Contact
Contact Us
Request Appointment
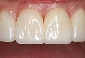
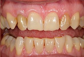
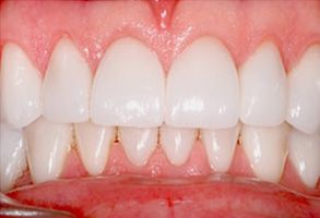
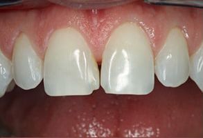
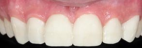
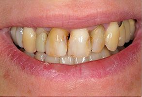
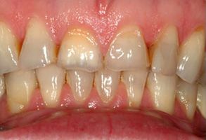
Smile Gallery
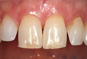
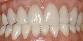
Before
After
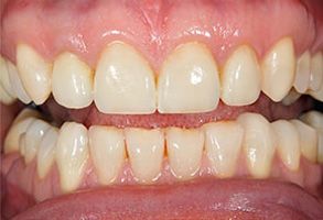
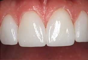
Before
After
Before
After
Before
After
Before
After
Before
After
Before
After
Before
After
Before
After
5-C Medical Park Drive,
Pomona, NY 10970
(845) 704-7922
Appointment
Contact Us